+918048128007
Currently it only shows your basic business info. Start adding relevant business details such as description, images and products or services to gain your customers attention by using Boost 360 android app / iOS App / web portal.

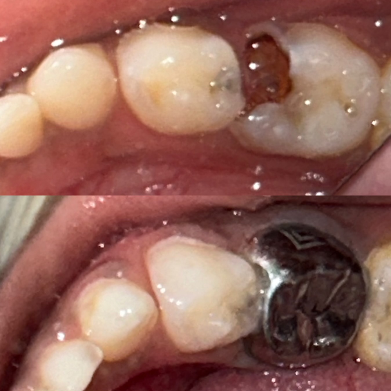
Best dentist in Adambakkam | Pulpectomy: Preserving Your Child’s Dental Health Pulpectomy is a specialized treatment to save primary teeth (baby teeth) affected by deep decay or infection. At Dr. Akkshaya Dental & Aesthetics, this procedure carefully removes infected pulp tissue, cleans the canals, and seals the tooth to prevent further issues. Pulpectomy not only alleviates pain but also supports proper spacing for permanent teeth, ensuring long-term oral health for your child.